Metástasis cerebral por coriocarcinoma posterior a embarazo gemelar Reporte de un caso
RADIOLOGIA LLEIDA METASTASIS PULMONARES EN SUELTA DE GLOBOS

Radiografía de tórax: masa redondeada de gran tamaño que parece proceder de mediastino anterior con imagen en suelta de globos. TAC Abdomen-pelvis: extensa masa localizada en mediastino anterosuperior, heterogénea con múltiples zonas hipodensas en probable relación a necrosis.. El coriocarcinoma se incluye dentro de los no seminomas.
(PDF) Coriocarcinoma testicular con metástasis a coroides

La imagen «en suelta de globos» en la radiografía simple de tórax no es muy común en atención primaria. Presentamos el caso de un paciente que consulta por lumbalgia no complicada. La radiografía de columna es indicativa de artrosis. Dentro del Programa de Actividades Preventivas PAPPS se le solicita análisis de sangre que muestra una.
3pettacdiagnosticotratamientocoriocarcinomaestadioIVgestacionnomolar Ocronos

La mayoría de los casos debutan con síntomas en relación con las metástasis. Presentamos el caso de un paciente de 16 años que acude a consulta por mareos y vómitos. Presentaba una auscultación pulmonar patológica, por la que se solicitó una radiografía torácica que mostró neumotórax derecho e imagen en suelta de globos. Al ampliar.
Figure 4 from Pure testicular choriocarcinoma Cannonball metastases as a presenting imaging

SIGNO "SUELTA DESIGNO "SUELTA DE GLOBOS" Autores:Dra.Miklikowski, Natalia. Dr. Caciarelli, Lucas. Dra Benzo MarinaDra.Benzo, Marina. Nódulos pulmonares múltiples de contornos nitidos sin calcificaciones distribuidos ennitidos, sin calcificaciones, distribuidos en ambos campos pulmonares. La principal causa son las metastasis.
Lumbalgia aguda con imagen «en suelta de globos» en la radiografía simple de tórax Medicina de

Estadísticas. La tiroidectomía total es el tratamiento de elección en el cáncer diferenciado de tiroides. A pesar de esta intervención, pueden aparecer metástasis regionales y a distancia. El control posterior de la enfermedad se realiza con la determinación de los valores de tiroglobulina, y el rastreo corporal con 201 Tl y 131 I.
FÍSTULA ARTERIOVENOSA PULMONAR COMO MANIFESTACIÓN DE METÁSTASIS DE CORIOCARCINOMA HPC

INTRODUCCIÓN. El coriocarcinoma (CC) es un tumor epitelial maligno derivado de las vellosidades coriales, productor de gonadotropina coriónica humana (β-hCG) que se incluye dentro de la enfermedad trofoblástica maligna (ETM), junto a la mola invasiva y al tumor trofoblástico del lecho placentario (1).Todos ellos se caracterizan por su gran capacidad invasiva, debido a un fallo en el.
Metástasis pulmonares en suelta de globos en paciente con carcinoma de próstata

Poster: "SERAM 2014 / S-0737 / Lo que el radiólogo debe saber sobre las metástasis pulmonares: "más allá de la suelta de globos" " by: " M. Sanchez 1 , M. Benegas Urteaga 2 , P. Arguis 1 , T. M. de Caralt 2 , R. J. Perea Palazon 1 ; 1 Barcelona/ES, 2 Barcelona /ES"
Choriocarcinoma Gross Image

A pesar de su uso frecuente, en muchas ocasiones no resulta sencillo filiar los hallazgos de la imagen, lo que dificulta llegar a un diagnóstico radiológico preciso. Esta revisión describe las principales características y formas de presentación de cada patrón pulmonar, con especial énfasis en las enfermedades que se asocian a ellos.
Choriocarcinoma Gross Image

Revisión del tema. 1-INTRODUCCION. -El pulmón es un lugar muy frecuente de enfermedad metastásica. Entre el 20-50% de las autopsias de pacientes con neoplasias extratorácicas muestran metástasis pulmonares (MP). -Las MP más frecuentes son de neoplasias como mama, colon, riñón, cabeza-cuello y útero.
Coriocarcinoma cervical metastásico en mujer de 45 años con antecedente de HSIL Clínica e

A) Radiografía de tórax en la que se aprecia un neumotórax que afecta al 40 % del pulmón derecho (flechas) e imagen en suelta de globos que afecta a ambos pulmones. B) Ecografía testicular donde apreciamos una lesión pseu-donodular en el testículo izquierdo de 8x9 mm con presencia de microcalcificaciones y vascularización.
¿Qué es y cómo funciona un TAC? Tinabana Salud

Imagen en suelta de globo en RX tórax en corte PA. AP de pieza operatoria informa de útero 184 g y 9×7 7 cm. Zona violácea de 1 cm en pared anterior, lesión tumoral de 4 cm con pedículo necrohemorrágico de 2,5 cm en canal endocervical, y segunda formación tumoral de 7 cm en cara anterior y fundus uterino con afectación parcial de pared posterior ( fig. 3 ).
Metástasis pulmonares en radiografía de tórax YouTube

Coriocarcinoma. Es un cáncer de crecimiento rápido que ocurre en el útero (matriz) de una mujer. Las células anormales empiezan en el tejido que normalmente se convertiría en placenta. La placenta es el órgano que se desarrolla durante el embarazo para alimentar el feto. El coriocarcinoma es un tipo de enfermedad trofoblástica gestacional.
Radiografías PA y lateral que muestran la imagen típica de metástasis... Download Scientific

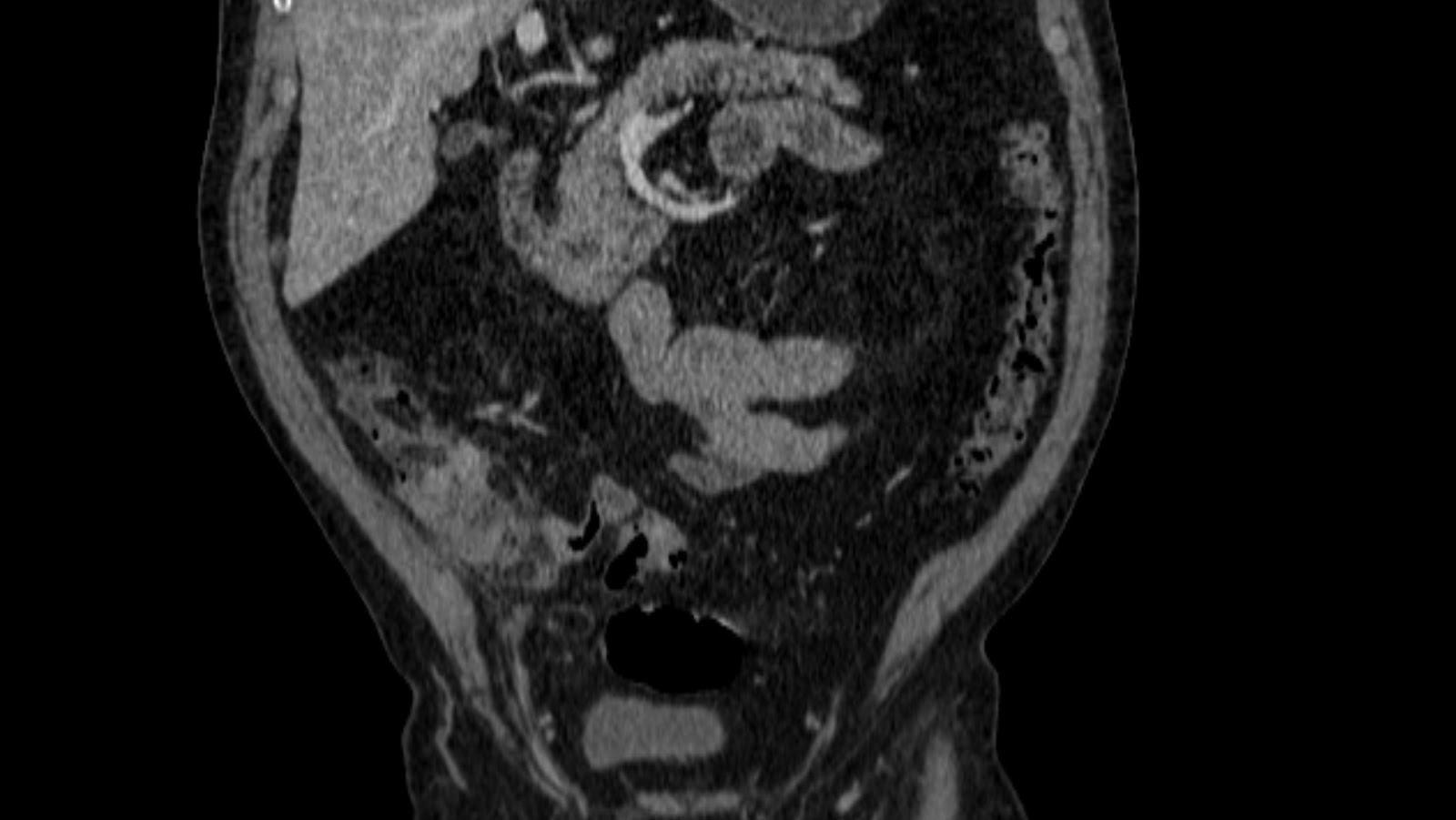
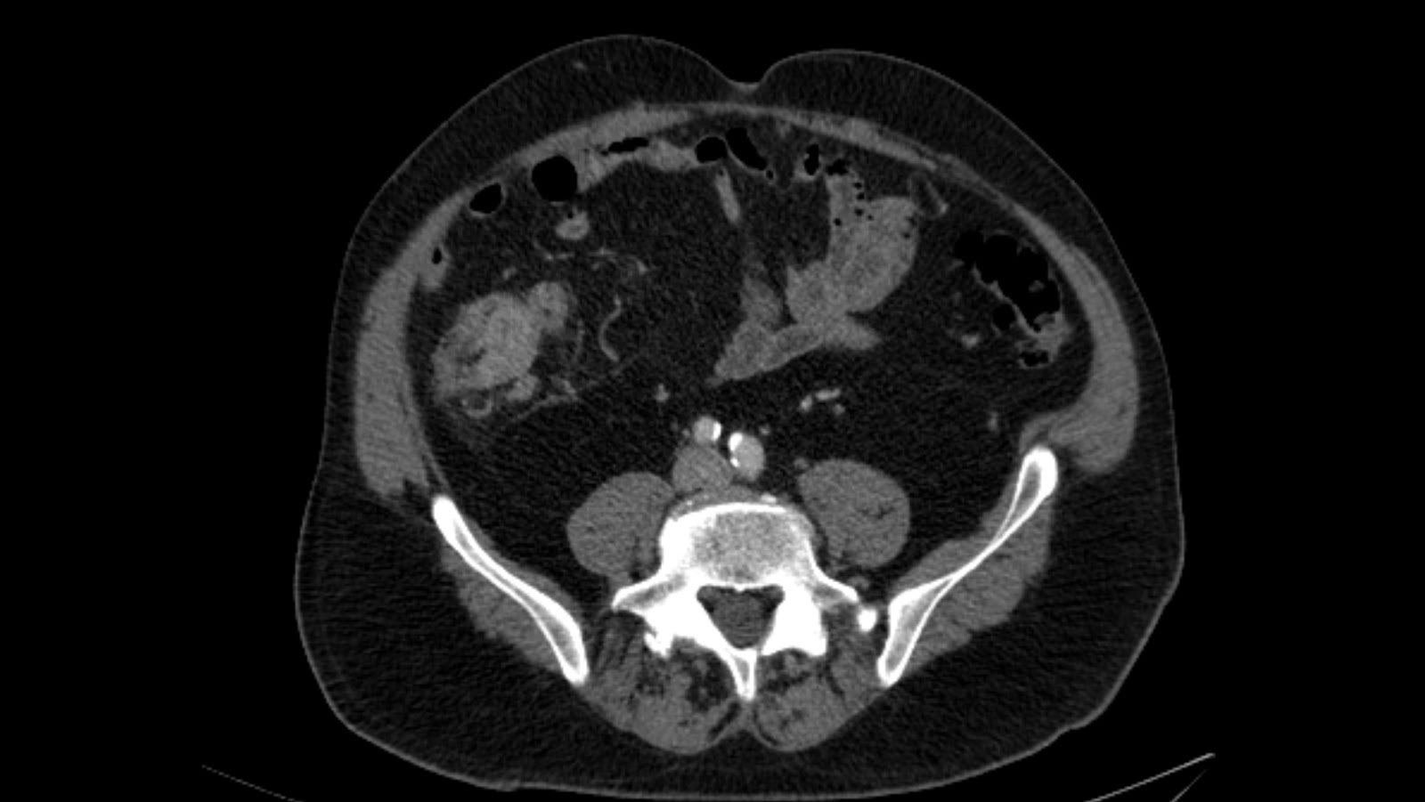
La radiografía de tórax muestra imágenes nodulares múltiples en ambos campos pulmonares («en suelta de globo») , TAC toracoabdominal confirma los nódulos pulmonares bilaterales, adenopatías mediastínicas anteriores, precarinales y retroperitoneales que desplazan vena porta.
EPOS™ S0737

Se ha demostrado que disminuye el riesgo de morir por esta causa en aproximadamente un 27%, de ahí la gran importancia de llevarse a cabo y de concienciar a las mujeres de la importancia de su seguimiento. Comunicaciones y ponencias semFYC: 2024; Comunicaciones: Casos clínicos. ISSN: 2339-9333.
RADIOLOGIA LLEIDA METASTASIS PULMONARES EN SUELTA DE GLOBOS

The French terms "envolée de ballons" and "lâcher de ballons", which translate to "balloons release", are also used to describe this same appearance. Metastases with such an appearance are classically secondary to 1,2: renal cell carcinoma. choriocarcinoma. Or less common primary tumors: prostate carcinoma 2. endometrial carcinoma 2
RADIOLOGIA LLEIDA METASTASIS PULMONARES EN SUELTA DE GLOBOS

El coriocarcinoma es uno de los tumores malignos más invasor y que ocasiona metástasis más extensas, principalmente en los pulmones (50 %), en la vagina (30-40 %), así como también en el cerebro, en el hígado y en los riñones, en ese orden; 1 no obstante, las células neoplásicas pueden diseminarse a cualquier otro lugar del cuerpo. 2.