Espacio entre los dientes foto de archivo. Imagen de estético 41061868
Determinación del tipo de sonrisa infantil ideal de acuerdo a la percepción de los padres y

La separación de los dientes, principalmente las dos piezas dentales frontales se conoce con el nombre de diastema que significa la existencia de un espacio entre los diente.. Puedes existir diferentes razones ya sean genéticas o médicas para que este problema dental se presente y puede incluso ser de origen hereditario, o deberse a ciertas afecciones que lo hagan más probable.
Nomenclatura Dental Explicada

Los espacios entre los dientes pueden ser causados por: • Dientes muy pequeños o maxilares muy grandes: Puede ser un asunto de proporciones. Estas diferencias de tamaño pueden estar dadas por motivos genéticos, que pueden implicar dientes con formas poco comunes y más pequeños de lo normal, o maxilares que crecen más de lo que deberían.
¿ESPACIO ENTRE DIENTES? Odontologists

Mientras tanto, los hábitos orales como el empuje de la lengua, el descanso inadecuado de la lengua y chuparse el dedo empujan los dientes frontales superiores hacia adelante, creando espacio a medida que se abren. La periodontitis, por otro lado, se refiere a la forma avanzada de enfermedad de las encías caracterizada por la pérdida ósea además de la inflamación de las encías.
Los dientes YouTube

Los dientes están espaciados demasiado lejos, dejando espacio entre ellos en lugar de tocarse. Algunas personas pueden tener solo un espacio, a menudo entre los dientes frontales superiores, que se llama diastema , mientras que otras pueden tener espacios entre varios dientes. Los espacios entre los dientes pueden tener efectos perjudiciales.
Espacio entre los dientes foto de archivo. Imagen de estético 41061868
Se refiere a un espacio entre los dientes. Estos espacios pueden formarse en cualquier lugar de la boca, pero a veces se notan entre los dos dientes frontales superiores. Esta condición afecta tanto a adultos como a niños. En los niños, las brechas pueden desaparecer una vez que crezcan sus dientes permanentes. Síntomas Algunos espacios
Pin en anatomia dental

Luego mueva con cuidado el hilo entre los dientes con los índices y los pulgares con un movimiento hacia arriba y hacia abajo, no de lado a lado. Es mejor moverlo hacia arriba y hacia abajo y asegurarse de llegar debajo del borde de las encías, inclinándolo en forma de la letra C al costado de cada diente. No se olvide de la parte posterior.
¿Cómo es la composición de los dientes? Revista PEM

Si queremos cerrar los diastemas o espacios interdentales y queremos lucir una amplia sonrisa, la solución no pasa por cerrar esos espacios entre los dientes completamente, sino en combinar un tratamiento de ortodoncia que dura en torno a un año o año y medio, con la colocación de carillas de composite, o reconstrucción de la anchura de los dientes con composite añadido.
Anatomía del diente medical ilustración vectorial sobre fondo blanco con números infográfico ied

Un diastema es un espacio que queda entre dos dientes. Ocurre con mayor frecuencia entre los dos dientes centrales superiores. Sin embargo, pueden quedar espacios entre cualquier par de dientes. Una diferencia entre el tamaño del hueso de la mandíbula y el tamaño de los dientes puede causar ya sea un espacio adicional entre los dientes o que.
¿Cómo crecen los dientes? Zabalegui Ortodoncia

La presión constante de la lengua contra los dientes puede causar diastemas. Esto puede deberse a distintas causas. Sin embargo, las más habituales son la macroglosia y la deglución atípica. La macroglosia es una alteración que afecta al tamaño de la lengua. Las personas que presentan macroglosia tienen una lengua más grande de lo.
Arco dental ilustración del vector. Ilustración de paladar 13416820
El diastema es el espacio o separación entre dos dientes y se produce especialmente en los incisivos centrales del maxilar superior, es decir, en las paletas. Se trata de un problema bastante común en los niños cuando aún conservan los dientes de leche. Es más, el 97% de los niños de hasta 5 años y hasta un 50% de los que tienen entre 6.
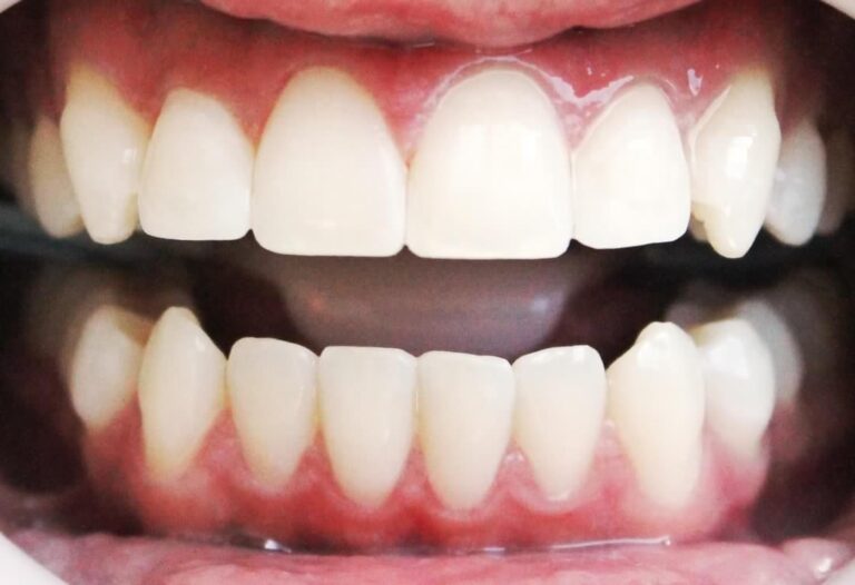
Caso Clínico Espacio entre dientes Clínica Pronova

El espacio entre los dientes puede ser causado por varias razones. Uno de los factores más comunes es la genética. Algunas personas simplemente tienen una predisposición genética a tener espacio entre sus dientes. Otra causa puede ser la pérdida de dientes. Cuando se pierde un diente, los dientes restantes pueden moverse y dejar espacio.
Mis dientes de abajo chocan con los de arriba, ¿qué puedo hacer? Ortodoncia González Dans

Se da cuando los dientes superiores están adelantados sobre los inferiores y sobrepasan más el 40% del tamaño de los dientes de abajo. En muchas ocasiones, los dientes de arriba incluso cubren a los de abajo casi por completo.. entre los dientes y los maxilares, para lograr una oclusión tanto estética como funcionalmente estable..
CASO CLÍNICO 2 Espacios entre los dientes. Espacio entre los incisivos VentureirAAguilera

Examina tus dientes. Mira en el espejo e identifica los dientes que están separados. Toma notas sobre la apariencia de los espacios y de la razón por la que te gustaría arreglarlos. También, anota cualquier otra imperfección que quisieras arreglar junto con tus espacios (tamaño de los dientes, su color, alineación, roturas, etc.). 3.
Alteraciones bucales Raga

Solo deberá superponer sobre cada pieza unas finas láminas esmaltadas. Antes de adherirlas podrás, si lo deseas, elegir el tono de tu sonrisa y lucir dientes realmente blancos. 7. Las coronas.
¿Por qué se hacen espacios entre los dientes Salud180

Síntomas del Diastema. Los síntomas del diastema pueden variar dependiendo de la causa y la gravedad del caso. Algunos síntomas comunes pueden incluir: Espacios Visibles entre los Dientes: El síntoma más evidente del diastema es la presencia de espacios entre los dientes, que pueden ser molestos desde el punto de vista estético para.
Nombres de tus dientes Dental anatomy, Dental hygiene student, Teeth anatomy

Una cuestión de genética; los dientes demasiado pequeños no pueden ocupar todo el espacio disponible en la mandíbula. Es por ello que se produce un espacio entre los dientes. Si algún miembro de tu familia tiene los dientes pequeños, es probable que tú también los tengas y que tus hijos tengan el mismo problema cuando crezcan.